SUGAI DENTAL CLINIC KAMAKURA SUGAI DENTAL CLINIC KAMAKURA

SUGAI DENTAL CLINIC KAMAKURA

Case

特殊な難治性歯肉炎:口腔粘膜扁平苔癬(コーヌスクローネによる最終補綴処置)
  • 歯周病症例
  • 義歯症例
  • 難治療症例

他院よりの紹介患者。
2か月程前より、接触痛のみならず塩・醬油等の塩味に激痛を覚えるようになり近医を受診したところ当院を紹介され初診。初診時には下顎前歯部唇側歯肉に空気が振れても痛いとの事でマスクを着用。常時痛みを感じるため精神的に疲れ疲弊の度合いが強く感じた。
初診時は口腔内写真を撮るにも口を開くと痛く、しばらくは患者にとってつらい治療が続いた。

  • 治療前
    口腔内には多数の適合不良の異種金属による補綴処置及び修復処置がなされており、歯頚部には多量のプラーク(歯垢)が認められた。下顎前歯相当部の歯肉には光沢のある浮腫性の強い発赤が認められた。上顎左右臼歯部及び両側頬粘膜にも同様の発赤が認められた。
  • 治療後
    7年後、発赤も消失し、 審美性のみならず摂食機能の大きな改善もなされた。開口時の空気による疼痛、飲食物摂取時の疼痛等も消退し高いレベルのQOLが獲得できた。精神的にも明るく元気を取り戻した。
患者様基本情報
  • 年代 50歳
    性別 女性
  • 主訴 口を開くと歯肉が痛い。口を開くと歯肉が痛い。
  • 自覚症状 空気が触れただけでも歯肉に痛みを感じる。食事ができない。
  • 治療期間 7年
    通院回数 月に2~3回程度。状態によりそれ以上。
  • 治療費用 約400万円
治療経過
初診時正面観 口腔内には多数の異種金属が使用されていた。金属による治療はどれも不適合かつ破損があり、その葉の周囲には著しく大量に溜まったプラーク(細菌の集合体)が認められた。清潔な口腔内を保つために不良補綴物の撤去を行った。同時にペリオチャートにより予後不良歯の抜歯を行った。ペリオチャートにより保存する歯に対しては歯周初期治療を実施した。
初診時のレントゲン写真  上下前歯部
上下とも前歯部において根長1/2を超える骨吸収像を呈している。また、辺縁不適合な補綴物も見受けられる。
初診時右側方面観 不良補綴物や不良充填物が多く認められる。
初診時のレントゲン写真 初診時のレントゲン写真 右上下側方面観
右上第一大臼歯部において根長1/2を超える骨吸収像及び根分岐部病変が認められる。また、辺縁不適合な補綴物も見受けられる。
初診時左側方面観 不良補綴物や不良充填物が多く認められる。
初診時のレントゲン写真 左上下側方面観
不良補綴物や不良充填物が多く認められる。
初診時下顎前歯部 下顎前歯部相当歯肉には特に強度の発赤が認められた。下顎には辺縁不適合な補綴物や極めて不良なセメント充填の部位が多数みとめられた .

右下智歯 予後不良歯の抜歯後の軟組織の状態
ペリオチャートにより、予後不良と診断された智歯を通法通り抜歯したが、その後の反応が異常に大きく強くあった。口腔粘膜扁平苔癬の患者の抜歯時には悪性化する可能性があるとする報告もあり注意が必要。
抜歯時に確定診断の為、組織片を採取した。

生検による確定診断
確定診断を得るため,生検を行い病理組織検査の結果
A.好中球の浸潤
B.上皮の落屑
C .水腫様変性 
の特徴的所見を得て口腔粘膜扁平苔癬と確定診断を得た。

仮義歯装着後の軟組織の状態。 上顎前歯部抜歯、不良補綴物の撤去、根幹治療などが進むにつれ仮義歯レジン庄部分が物理的・化学的刺激となり、接触部歯肉には強烈な光沢感を伴う発赤・疼痛を発症した。原因は仮義歯レジン床と考えられたが、義歯の使用を止めることはできず対応に苦心した。ビタミンA誘導体のレチノイド10000単位の投与などを試みた。結果、口唇や爪に副作用と思われる裂創が認められたが症状の緩解には至らなかった。当時使用中のステロイド含有軟膏は基材が水溶性で長く停留できないこと、粒子が荒く塗布時に痛みを伴うことなど限界があった。そこで、基材をポリアクリル酸ナトリウムとしたステロイド含有軟膏を使用することとした。連続塗布による粘膜のダメージを考えると1週間が限界と考えたが、1週間でかなりの緩解を認めたた。
3週間後の状態 一週間以上の連続使用は、逆に粘膜の脆弱化を引き起こすため危険であることは周知の事実であるが、本症例においてはその後も様子を見ながら一日1回就寝全に最小量を綿棒にて塗布した。塗布開始3週間語に発赤・疼痛などの症状の消退を認めた
上顎前歯部口唇内面 同様に仮レジン床義歯装着後、上顎前歯ぶの唇側粘膜に Wickham's striaeの出現を確認した
3週間後の状態 同様にポリアクリル酸ナトリウム機材のステロイド含有軟膏を使用したところ、3週でで上顎唇側の Wickham's striae の消失を認めた。
最終補綴処置(コーヌスクローネ)に備えた、予後不良歯の抜歯・骨移植 軟組織の炎症症状の消退を認めたため、最終補綴処置に向けた予後府不良歯の抜歯、下顎前歯部の抜歯を計画した。下顎前歯部は再評価時のペリオチャートにより予後不良と判定したため抜歯とした。最終補綴処置を考慮し、レジン床の面積を可及的に小さくする、あるいは無くしダブルクラウンとなる支台歯の負担軽減を考慮し抜歯窩に骨移植剤を填入した。
抜歯窩に骨移植剤填入後のレントゲン写真
抜歯窩に緊密に填入し縫合した。
骨移植剤填入した抜歯窩の術後の下顎前歯部の状態 抜歯時に最終補綴処置時の審美性保持の為、下顎前歯相当部歯槽骨の吸収を防ぐため、抜歯窩に骨移植剤を填入した。
最終補綴処置 粘膜症状消退を確認し、最終補綴処置に移行。なるべく粘膜に刺激を与えないような義歯を選択することとした。残存歯の予後の判定を厳格に行ない、予後良好と診断した歯の配置等考慮し上下コーヌスクローネとすることとした。コーヌスクローネを選択するメリットは可及的に小面積を狭くする設計が可能である事である。

コーヌスクローネ
最小限のレジン床の面積とし、審美性や発音機能、摂食機能を重視し、QOLをより高いレベルで維持できる義歯の設計とした。

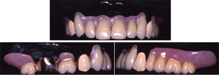
最終補綴物装着時の状態 上顎の床縁は審美性も考慮し、可及的に小さくした。
最終補綴処置正面観 骨移植を行った下顎前歯部歯肉も高さが維持できており、審美的にも満足できる最終補綴処置と思われる。下顎前歯部は床無し。

最終補綴処置左右側方面観
正常な咬合関係が付与されている。患者は精神的にも楽になり、当初の暗い表情は消え明るく快活になったようである

この症例の治療のメリットについて

口腔粘膜が空気に触れない様にするための外出時のマスクや、食物が粘膜にあったって痛くならないようにストローを用いる食事等は一切必要無くなり、食事摂食・発音機能等全ての日常生活を普通におくることができ、患者のQOLは格段に向上した。何よりも精神的に解放された様子で、表情の豊かさや明るさ、口数の多さが嬉しい。

この症例の治療のデメリットについて

原因不明の厚生労働省指定の難治疾患であり、治療期間の増長が挙げられる。
最終補綴物のコーヌスクローネが自費診療の為の治療費用の増大。